Le score calcique ou CAC score a été élevé au rang de vedette lors des derniers congrès cardiovasculaires de la Societé Européenne de cardiologie en 2019 et 2021.
Les marqueurs et facteurs de risque des maladies cardiovasculaires font l’objet d’etudes constantes.
La hiérarchisation du risque -préconisée par les recommandations internationales- repose sur une évaluation globale du patient. Le dépistage de plus en plus précoce et une prise en charge individualisée constituent des éléments essentiels dans l’amélioration des conditions de vie des populations.
Ce score occupe, aujourd’hui, une place importante dans la stratification du risque cardiovasculaire. « La meilleure façon de prédire l’avenir, c’est de le créer » Peter Drucker.
A ce titre, Les scientifiques découvrent, inventent, innovent et ce score calcique est un marqueur de risque novateur, qualifié de prédictif. A défaut de boule de cristal, je vous propose de faire la lumière sur ce score.
Les maladies cardiovasculaires de quoi s’agit-il ?
On désigne par maladies cardiovasculaires, l’ensemble des pathologies touchant le cœur et les vaisseaux sanguins.
On peut citer l'athérosclérose, les troubles du rythme cardiaque, l'hypertension artérielle, l'infarctus du myocarde, les accidents vasculaires cérébraux ou encore les thromboses veineuses profondes et les embolies pulmonaires.
Les maladies cardio-vasculaires et leurs complications sont la première cause de mortalité dans le monde avec 17,9 millions de décès en 2019. C’est aussi et surtout la 1ère cause de décès prématuré.
En France, comme dans le reste du monde, les maladies cardiovasculaires ont longtemps été la principale cause de décès. Depuis quelques années, elles sont relayées au second rang des causes de mortalité après les cancers.
Les campagnes de prévention mises en place depuis les années 90, comme l’identification des facteurs de risques cardiovasculaires, le programme national de nutrition santé ou PNNS et l’amélioration de la prise en charge thérapeutique ont permis ce recul du nombre de décès.
Pourtant ces maladies représentent toujours la 1ère cause de décès chez les femmes quel que soit l’âge et chez les personnes âgées de plus de 65 ans.
Les infarctus du myocarde et les AVC constituent la 1ère cause de handicap physique de l’adulte, la seconde cause de démence et une cause fréquente de dépression.


D’ici 2030, on extrapole3 une augmentation de +3 % de toutes les maladies cardiovasculaires et +8 % des AVC.
Les enjeux en termes de dépistage, de prévention et d’accompagnementsont cruciaux tant en terme sanitaire que socio-économique. Les moyens mis en œuvre sur le plan de la recherche clinique évoluent.
Ces recherches permettent une meilleure compréhension et un niveau interventionnel individualisé plus éfficient.
Le score calcique s’intègre dans la stratégie de stratification du risque des maladies cardiovasculaires en particulier chez les patients asymptomatiques ou peu symptomatiques.
Prévenir encore et toujours et surtout le plus tôt possible.
Stratification du risque des maladies cardiovasculaires
Cette hiérarchisation du risque repose sur différents indices que sont les facteurs de rique et les marqueurs de risque.
En médecine, faire le lien entre une ou des causes et la survenue d’une maladie est tout un art.
La meilleure exploitation des données grâce aux IA promet une analyse plus fine du rôle des expositions à un risque et de leurs impacts sur notre santé.
La distinction entre un facteur de risque et marqueur de risque est importante à signifier avant d’aller plus en avant dans votre lecture.
Un facteur de risque est partiellement responsable du risque. C’est un paramètre, une pratique ou une caractéristique modifiable par l’homme. La maîtrise de ce facteur permet la réduction significative de ce dernier.
Le tabac est un facteur de risque de l’infarctus du myocarde.
Un marqueur de risque est un témoin de la maladie. C’est un paramètre non modifiable de l’environnement ou une caractéristique non modifiable d’un individu dont la présence s’accompagne d’une augmentation de la probabilité d’apparition d’une maladie. Il existe une simple corrélation entre le marqueur et le risque. La diminution artificielle de ce marqueur ne change pas le risque final.
Par exemple: Le sexe masculin est un marqueur de risque du cancer de la prostate, il n’ y a pas de cancer de la prostate chez la femme.
1 Le diagramme SCORE (Systematic Coronary Risk evaluation).
Ce score permet de prévenir le risque de survenue d’évènements cardiovasculaires mortels à 10 ans chez des individus présumés sains, sans antécédent de maladie cardiovasculaire, non diabétiques, sans maladie rénale chronique.
Les données principales introduites dans ce modèle prédictif sont :
- l’âge,
- le sexe,
- le statut tabagique,
- le cholestérol total,
- la pression artérielle
On classe les résultats en degré de risque cardiovasculaire :
- bas risque,
- risque modéré,
- haut risque,
- très haut risque

SCORE (Systematic COronary Risk Evaluation) chart for use in high-risk European regions; chart based on total cholesterol:high-density lipoprotein cholesterol. Reproduced from Conroy et al (2003). ©Oxford University Press, 2013
Il permet un bon screening des populations mais il ne s’applique pas aux personnes jeunes c’est à dire de moins de 40 ans.
Hors, les maladies cardiovasculaires en terme de prévalence sont la 1er cause de décès prématurés.
En Europe nous avons un modèle qui comptabilise à poids égal différents paramètres comme: l’âge , le poids , le sexe , le statut tabagique, le diabète traité ou non , les antécédents familiaux cardiovasculaires et les taux de cholestérol total avec le HDL cholestérol.
Plus simple, cette méthode « additionne les points » correspondant aux différents facteurs.
2 Les marqueurs cliniques de risque cardiovasculaire ou « risk modifiers »

Les maladies inflammatoires chroniques, la séropositivité VIH4 ou la maladie rénale chronique, ne sont pas des facteurs de risque cardiovasculaire, mais leur rôle est maintenant bien établi dans la genèse des maladies cardiovasculaires.
L’obésité et le syndrome métabolique sont des éléments pris en compte dans l’évaluation du risque cardiovasculaire individuel.
3 Les marqueurs biologiques de risque cardiovasculaire
Dans la pratique de dépistage et de suivi nous réalisons un bilan biologique lipidique complet en analysant les taux de cholestérol total, du LDL cholestérol, le HDL et les triglycérides.
Les recommandations européennes récentes mettent en avant d’autres marqueurs biologiques comme l’Apolipoprotéine B et la lipoprotéine A. Les données statistiques confirment leur valeur pronostique sur le risque d’infarctus du myocarde.
D’autres protéines provoquent un interêt grandissant dans la communauté scientifique. Ces molécules pourraient à l’avenir être de nouvelles pistes thérapeutiques intéressantes comme l’Apolipoprotéine CIII ou encore l’ANGPTL3. Ces deux protéines sont sécrétées par le foie et elles jouent un rôle majeur dans le métabolisme des triglycérides. (Late Breaking Science in Lipids, Samedi 29 août 2020)
Les triglycérides sont fabriqués par le foie et aussi apportés par l’alimentation (sucres, alcool). Ils sont stockés dans le tissu adipeux composé essentiellement de graisses. Ils constituent une réserve importante d’énergie. L’excès de lipoprotéines riches en triglycérides participe également à l’athérogénèse.
4 Le CAC score
L'athérosclérose correspond au dépôt d'une plaque d'athérome sur la paroi des artères. Elle est à l'origine de la plupart des maladies cardio-vasculaires, AVC* et infarctus.
La plaque d’athérome ou dépôt graisseux se localise sur partie de la paroi interne des artères. Les plaques d'athérome sont constituées de cellules sanguines inflammatoires et de mauvais cholestérol ou LDL cholestérol et d’une chappe fibreuse.
Cette plaque va évoluer silencieusement en s’épaississant puis en se durcissant ou se sclérosant. On parle alors d’athérosclérose.
Son évolution s’exprimera cliniquement bien des années plus tard après son apparition. En effet, ces plaques vont rétrécir le calibre des artères voire les boucher, on parle de sténose et d’occlusion.

Il arrive que ces plaques soient instables et fragiles « ou molles ». Elles s’étendent plus rapidement avec le risque majeur d’une rupture de plaque. Cette rupture va entrainer la circulation de micro-dépôts ou emboles qui vont aller boucher en amont des artères saines de calibre plus petits on parle d’embolisation. Ces plaques sont en général plus riches en lipide et en cellules inflammatoires et moins dures.

La prévention de ces plaques -quel que soit leur nature- est un enjeu capital. Elle passe par une meilleure connaissance descriptive anatomoclinique et le dépistage des facteurs de risque cardiovasculaires.
CAC ou Score d’ Agatston: définition
Il détecte et quantifie les dépôts de calcium dans les artères du cœur ou artères coronaires. Il reflète le degré de l’athérosclérose.
L’étude des vaisseaux coronaires a été rendu possible dans la fin des années 90 par les progrès de l’imagerie et la mise au point de logiciels innovants.
On doit cette innovation au Dr Arthur Agatston, cardiologue américain spécialisé dans l’imagerie cardiaque non invasive. Il a signifié l’existence d’une relation linéaire entre le score calcique et l’étendue des lésions coronaires. L’établissement d’un score a été permis par un logiciel informatique sur la base d’images scannées de patients.
Le développement et la mise sur le marché de scanners performants ont rendu possible la réalisation de ce score au plus grand nombre. Les études5,6,7,8,9,10qui ont découlé de l’analyse de données des images scannées ont confirmé la pertinence de ce score pour le risque cardioavasculaire.
Comment réalise-ton ce score ?
L’examen est simple, rapide -il dure 2 minutes- et il est interprété en moins de 10 minutes par le radiologue.
Il n’est pas nécessaire d’être à jeûn et les traitements peuvent être poursuivis.
Il est contre-indiqué chez la femme enceinte.
La seule contribution demandée au patient est de bloquer sa respiration pendant 3 à 5 secondes.
Il repose sur la réalisation d’un scanner thoracique centré sur le coeur, sans injection de produit de contraste, délivrant une très faible irradiation (< 1 mSv).

Cet acte radiologique nécessite quelques préparatifs du patient :
- La mise en place d'un appareil à tension et du pouls.
- La pose d'électrodes sur le thorax pour mesurer le rythme cardiaque.
- La pose d'un cathéter sur l'avant-bras ou la main en cas d'injection de produit de contraste si besoin.
- L'administration d'un bêtabloquant sera nécessaire si le rythme cardiaque augmente pendant l'examen.
- Le patient est installé sur la table de scanner avec des électrodes branchées au scanner pour coupler l'acquisition scanographie des images au rythme cardiaque.
- Certains radiologues vaporisent sous la langue du Natispray©, qui va dilater les artères, juste avant le début de l’examen pour une meilleure visualisation des artères cardiaques.
- Un logiciel de calcul permet la détection semi-automatique des calcifications coronaires épicardiques.
La réalisation du score calcique est réalisable aujourd’hui sur la plupart des machines de scanner.
Comment interpréter ce score ?
Un score calcique coronaire élevé traduit une probabilité forte de survenue de maladie coronaire à 10 ans et s’avère être de mauvais pronostic tandis qu’un CAC score à zéro est de bon pronostic.
Selon le dégré de calcification on a établi cinq catégories :
- CAC-score = 0 Pas d’athérome calcifié, le risque cardiovasculaire est minimal
- CAC-score = 1-10 Peu de plaques calcifiées
- CAC-score = 10-100 Calcifications coronaires modérées
- CAC-score = 100-400 Calcifications coronaires marquées
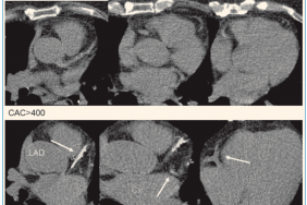
- CAC-score > 400 Importantes calcifications coronaires
Le score calcique =0 est dit idéal. Il représente une excellente valeur prédictive négative dans une population asymptomatique et sans maladie cardiaque connue. Ce score dit nul n’est cependant pas nul et la prise en charge globale ne doit pas être négligée.
Entre 1 et 100 il n’ y a pas d’ explorations cardiologiques complémentaires et/ou de mesure préventives proposées. Néanmoins, si le sujet a moins de 55 ans, on pourrait conseiller une prise en charge médicale reposant sur la prescription d’antiagrégants plaquettaires comme l’aspirine et/ou de statines contre les dépôts de cholestérol selon l’importance des facteurs de risques cardio-vasculaires.
Entre 100 et 300 une prise en charge médicale -antiaggrégants plaquettaires et statines- est recommandée ainsi que des investigations cardiaques complémentaires11
Un score supérieur à 400 correspond à un risque cardiovasculaire élévé (taux d’évenements >20 % à 10 ans) chez des sujets sans symptômes et sans maladie coronaire connue. Des examens complémentaires auprès d’un cardiologue, et notamment une coronarographie pour vérifier l’irrigation des artères coronaires sera proposé. Ces patients doivent en outre bénéficier d’un suivi régulier avec un contrôle des facteurs de risque cardiovasculaires comme le sevrage tabagique, le contrôle du poids, la pratique d’une activité physique régulière, des chiffres tensionnels et glycémiques stables et optimaux.

Ce chiffre de 400 a été retenu à partir d’études prospectives étudiant le lien à long terme entre CAC* et risque cardiovasculaire.
Si le score dépasse 1000 unités Agatston, le risque cardiovasculaire équivaut à celui d'une personne coronarienne connue et un bilan complet des artéres cardiaques est prodigué.
V. EDER, Service de médecine nucléaire, hôpital Avicenne, Université Paris-Nord, Bobigny
Les limites de ce score
Ce score ne s’applique qu’aux patients dits asymptomatiques, sans maladies coronaires connues. Chez les autres patients coronariens ou symptomatiques, d’autres examens sont conseillés.
Les plaques dites calcifiées sont les mieux visualisées par ce score calcique -même si la majorité d’entre elles le sont- les plaques dites instables et fragiles qui constituent un risque cardiovasculaire accru semblent échapper à ce score.
Un avenir prédictif pour ce score autre que dans les maladies cardiovasculaires ?
Un score calcique élevé serait peut-être révélateur d’autres maladies12,13,14,15, comme la stéatose hépatique non alcoolique (NASH, pour non-alcoholic steatohepatitis), certains cancers, les insuffisances rénale chronique et respiratoire chronique. Il s’agit à l’heure actuelle, plus d’une observation que d’un lien veritablement établi.
En conclusion
Le score calcique fait partie intégrante des recommandations scientifiques dans la stratification du risque cardioavasculaire. Le CAC-score présente de meilleures valeurs de sensibilité et de spécificité que les scores dits classiques16.
C’est un examen simple, non invasif qui permet de dépister précocément la maladie coronaire silencieuse. Il identifie les patients à haut risque de complications cardio-vasculaires et il réajuste les pratiques médicales.
La prise en charge globale et individalisée des patients se trouve renforcée grâce à score qui est promut à un bel avenir.
Bibliographie
- Mahabadi, A. A., Nasir, K., & Rassaf, T. (2019). Routine CAC-scoring prior to initiation of statin therapy – a European perspective. European Journal of Preventive Cardiology, 26(14), 1559‑1561. https://doi.org/10.1177/2047487319839188
- Serrao, M., Temtem, M., Pereira, A., Monteiro, J., Santos, M., Sousa, A., Henriques, E., Freitas, S., Ornelas, I., Drumond, A., Palma Dos Reis, R., & Mendonca, M. (2020). Does coronary calcium scoring adds value to cardiovascular risk prediction in asymptomatic population ? European Heart Journal, 41(Supplement_2). https://doi.org/10.1093/ehjci/ehaa946.2920
- Maladies cardioavsculaires Leem Santé 2030 https://www.leem.org/sites/default/files/2019-09/Plateforme_Sante2030_maladies-cardiovasculaires.pdf
- Shah, A. S., Stelzle, D., Lee, K. K., Beck, E. J., Alam, S., Clifford, S., Longenecker, C. T., Strachan, F., Bagchi, S., Whiteley, W., Rajagopalan, S., Kottilil, S., Nair, H., Newby, D. E., McAllister, D. A., & Mills, N. L. (2018). Global Burden of Atherosclerotic Cardiovascular Disease in People Living With HIV. Circulation, 138(11), 1100‑1112. https://doi.org/10.1161/circulationaha.117.033369
- Coronary artery calcium score quantification using a deep-learning algorithm.
- Wang W, Wang H, Chen Q, Zhou Z, Wang R, Wang H, Zhang N, Chen Y, Sun Z, Xu L.Clin Radiol. 2020 Mar;75(3):237.e11-237.e16. doi: 10.1016/j.crad.2019.10.012. Epub 2019 Nov 11.PMID: 31718789
- Detection of coronary calcium during standard chest computed tomography correlates with multi-detector computed tomography coronary artery calcium score.Kirsch J, Buitrago I, Mohammed TL, Gao T, Asher CR, Novaro GM.Int J Cardiovasc Imaging. 2012 Jun;28(5):1249-56. doi: 10.1007/s10554-011-9928-9. Epub 2011 Aug 11.PMID: 21833776
- Automated coronary artery calcification scoring in non-gated chest CT: agreement and reliability. Takx RA, de Jong PA, Leiner T, Oudkerk M, de Koning HJ, Mol CP, Viergever MA, Išgum I.PLoS One. 2014 Mar 13;9(3):e91239. doi: 10.1371/journal.pone.0091239. eCollection 2014.PMID: 24625525
- Iterative beam-hardening correction with advanced modeled iterative reconstruction in low voltage CT coronary calcium scoring with tin filtration: Impact on coronary artery calcium quantification and image quality. Tesche C, De Cecco CN, Schoepf UJ, Duguay TM, Albrecht MH, Caruso D, Varga-Szemes A, Lesslie VW, Ebersberger U, Canstein C, Thilo C, Hoffmann E, Allmendinger T, Nance JW.J Cardiovasc Comput Tomogr. 2017 Sep-Oct;11(5):354-359. doi: 10.1016/j.jcct.2017.07.003. Epub 2017 Jul 24.PMID: 28756086
- Automatic coronary calcium scoring using noncontrast and contrast CT images.Yang G, Chen Y, Ning X, Sun Q, Shu H, Coatrieux JL.Med Phys. 2016 May;43(5):2174. doi: 10.1118/1.4945045.PMID: 27147329
- Adaptive Iterative Dose Reduction 3D Integrated with Automatic Tube Current Modulation for CT Coronary Artery Calcium Quantification: Comparison to Traditional Filtered Back Projection in an Anthropomorphic Phantom and Patients.Tang YC, Liu YC, Hsu MY, Tsai HY, Chen CM.Acad Radiol. 2018 Aug;25(8):1010-1017. doi: 10.1016/j.acra.2017.12.018. Epub 2018 Feb 1.PMID: 29395796
- Keller, M., & Silber, S. (2020). Usefulness of the coronary artery calcium (CAC) score for statin prescription in primary prevention : results in over 16.000 assessments. European Heart Journal, 41(Supplement_2). https://doi.org/10.1093/ehjci/ehaa946.2923
- Lehmann N, Erbel R, Mahabadi AA et al. Value of progression of coronary artery calcification for risk prediction of coronary and cardiovascular events: result of the HNR study (Heinz Nixdorf Recall) [archive], Circulation, 2018;137:665–679
- Jaruvongvanich V, Wirunsawanya K, Sanguankeo A, Upala S, Nonalcoholic fatty liver disease is associated with coronary artery calcification: a systematic review and meta-analysis [archive], Dig Liver Dis, 2016;48:1410–1417
- Revenir plus haut en :a b et c Handy CE, Desai CS, Dardari ZA et al. The association of coronary artery calcium with noncardiovascular disease: the Multi-Ethnic Study of Atherosclerosis [archive], JACC Cardiovasc Imaging, 2016;9:568–576
- Peng AW, Dardari ZA, Blumenthal RS et al. Very high coronary artery calcium (≥1000) and association with cardiovascular disease events, non–cardiovascular disease outcomes, and mortality [archive], Circulation, 2021;145:1571–1583
- Risk stratifi cation in uncomplicated type 2 diabetes: prospective evaluation of the combined use of coronary artery calcium imaging and selective myocardial perfusion scintigraphy. Anand et al, EHJ 2006
- Score calcique et coroTDM en pratique https://www.lequotidiendumedecin.fr/specialites/cardiologie/score-calcique-et-corotdm-en-pratique
- Hypertension artérielle en pratique https://docteur-bossy.com/medecine-vasculaire/arteres/hypertension-arterielle-definition-diagnostic-traitement-prevention-video-explicative.html?highlight=WyJodGEiXQ==
- AVC/Stroke: conduite à tenir https://docteur-bossy.com/medecine-vasculaire/arteres/avc-stroke-conduite-a-tenir.html?highlight=WyJhdmMiXQ==
- Les bases nutritionnelles en Vidéo https://docteur-bossy.com/medecine-preventive/nutrition/les-bases-nutritionnelles-en-video-nutritional-bases.html?highlight=WyJudXRyaXRpb24iXQ==
- Pixabay


